Today was an adventure.
Harper had an MRI scheduled in the fall. It’s been two years since her last MRI, so this was going to be a routine follow-up to check on her progress. However, when her neurosurgeon heard about her changing symptoms, he decided that we needed to go ahead and get the scan done to be sure there are no changes with her cyst or the fluid in her ventricles.
So, we loaded up after church yesterday and made the trek to Durham. We had to be at the hospital first thing this morning for the scan, and our goal was to try to get it done without sedation this time. We did lots of talking and sharing with Harper about the process and explained the MRI machine and she seemed to be on-board… until we actually walked into the hospital room and she saw the hospital bed and monitors.
Apparently Harper has developed some serious hospital-anxiety, and the sight of a hospital bed and monitors throws her into hysterics, even if it’s just on tv. She cried her way through the MRI video, cried as we walked down the hall, and cried as they showed her the really cool beach-themed MRI room complete with a sandcastle MRI machine. When she threw herself in the floor screaming over them placing “magic lotion” on her hand (numbing cream just in case they needed an IV), the doctor came in and said there was no point in trying to get her in the MRI machine without sedation.
In the past, sedation for this scan was done with a new nasal spray that is amazing because it requires no IV and doesn’t take long to recover from. But unfortunately it didn’t work well for Harper last time, so the doctor told us IV sedation was required for today. However, given the emotional state Harper was in, they could not attempt an IV without first getting some chill-out medication in her system, so we started with an oral medicine- it took a little bit to kick in, but once it did, it really kicked in, and she was finally mellow enough for the IV process.
And what a process that was. The first nurse tried the first hand- and tried, and tried. The second nurse tried the second hand, but after one missed attempt decided it was time to call in the special team with ultrasound equipment. They finally gained access in her forearm and got the sedatives pumping, but she didn’t go down without a fight and it took a bit longer than expected for her to fall asleep.
In true Harper-fashion, there was a bit of a scare right after she fell asleep. She decided that breathing was optional and began to desat, so there was a little excitement as everyone rushed to give her oxygen and get her positioned just right. Fortunately that worked and she went on to the scan, and then we spent a couple of hours in recovery before seeing the neurosurgeon.
And the verdict?
STABLE!!
The cyst hasn’t grown significantly, the fluid remains about the same, and therefore there doesn’t seem to be an issue with the pressure in her brain. This is great news from the neurosurgical standpoint, but doesn’t give an answer for these new seizures, so we keep pressing on.
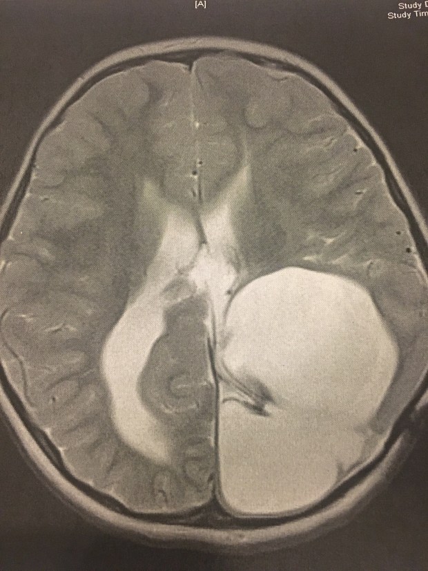
I don’t know that I’ve shared a picture of Harper’s brain before, so I have one to share tonight:

I share it because this is a picture of what God is doing. So often we read of the miracles He worked in the Bible and think of them as ancient news, and have trouble relating it to today. And I personally take for granted so often just how much He is doing each and every day.
All of that white space in this image shouldn’t be there. The thinner white strip on the left side of the picture is fluid accumulation in an enlarged ventricle. And that huge white blob on the right side? That’s a cyst and dead brain tissue. All of the white in the image is taking the place of what should be functioning brain tissue… and amazingly enough, this is an incredible improvement from what this image showed five years ago.
What does that mean? It means this girl really shouldn’t be able to do much of what she does. She walks. She talks. She laughs. She sings and dances and plays and learns. She can see and she can hear and every day with her is a day that God is working mightily. It is a miracle.There are moments that I get overwhelmed or I feel sad that she struggles in some way. There are times that I think it isn’t fair or I get scared for what the future will hold. Today I felt all of those things (and more) at one point. But tonight as I look away from that MRI picture and look instead at the bigger picture, I am reminded once again that we serve a God who sees the whole picture. He sees and He knows and He has plans far beyond what I can dream, and in the meantime He has given me so very much to be thankful for. ❤️
PTL…..GOD IS SO GOOD!!! Wonderful news!!
LikeLike